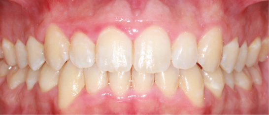
Deep Bite
Your top front teeth drastically overlap your bottom front teeth.
Before After
Why fix them?
A deep bite usually causes inefficient biting and chewing, which can lead to tooth and jaw damage.
Can ClearCorrect help?
Yes! ClearCorrect aligners can fix a deep bite.
A treatment for all smiles
Smiles come in all shapes and sizes, and so do malocclusions. ClearCorrect can straighten a wide variety of smiles.
Do any of these look like your teeth? Click on them to learn more.
Cross Bite
Spacing
Open Bite
Deep Bite
Midline Shift
Overjet
Edge to Edge
Are you ready to schedule an appointment?

